CURARE L’ARTROSI CON LE ERBE L‘artrosi, a differenza dell’artrite, non è una malattia infiammatoria, ma una forma degenerativa cronica. Colpisce soprattutto le persone più avanti con gli anni perché è connessa all’usura delle articolazioni. Le strutture articolari più

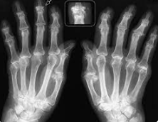
frequentemente colpite sono quelle maggiormente sollecitate dal peso e dall’attività, tra cui ginocchia, anche, spalle, mani, piedi e colonna vertebrale. Con il processo degenerativo dell’artrosi si assiste a un assottigliamento della cartilagine articolare e in seguito a deformità ossee che causano il dolore e i sintomi specifici dell’artrosi, particolarmente evidenti a livello delle falangi distali delle mani, per esempio.
I seguenti consigli si riferiscono anche a infiammazioni, deformazioni e usure articolari. Essi sono guaribili, i dolori scompaiono lentamente, persino le deformazioni regrediscono nel corso di uno o due anni. I malati che camminano con le grucce e bastoni le abbandonano dopo un periodo abbastanza breve.
Al mattino, una mezz’ora prima di colazione, e alla sera, una mezz’ora prima di cena si beve una tazza di
tisana di Equiseto o Coda cavallina sbollentata lasciata in infusione per mezzo minuto, mentre durante la giornata si bevono quattro tazze di tisana di Ortica, anche questa sbollentata e lasciata riposare brevemente.
Da tre delle quattro tazze di tisana di Ortica se ne toglie la metà e si aggiunge a ognuna delle tre un cucchiaio di Erbe svedesi. Tale quantitativo viene bevuto prima e dopo ogni pasto.
Ovunque si presentino dolori, nel ginocchio o in altre articolazioni, si applicano degli impacchi di Erbe svedesi per quattro ore. Non dimenticare: prima si unge la parte con crema di Calendula, e tolto l’impacco occorre spolverare un po’ di talco per evitare il prurito.
Riscaldare con il ferro da stiro delle foglie di Verza o di Cavolo, applicarle sulle giunture dolenti, coprirle con un panno, daranno sollievo.
Sono utili anche le frizioni alle articolazioni con essenza di Consolida maggiore e fanno diminuire il dolore.
Contro le infiammazioni delle articolazioni si raccomandano i cataplasmi al vapore di Coda cavallina.
Oltre le foglie di Verza o di Cavolo sarebbero da raccomandare anche applicazioni di foglie di Panace (volgarmente chiamato Spondilio, Bragosse, Onglo, Erba bona). Esse si trovano dappertutto lungo i margini delle strade di campagna, sulle scarpate e nei prati; spesso trovano il loro habitat anche nei boschi umidi di latifoglie, nei boschi misti o quelli di pianura lungo i fiumi. La pianta è corredata di grandi fiori a ombrello di vari colori, dal verde chiaro al rosa pallido, si fa notare nei prati o ai margini delle strade per il suo portamento vigoroso.
TESTIMONIANZA 1
Nostra nonna, a 93 anni, ebbe improvvisamente al ginocchio sinistro una tumefazione verso destra, piuttosto dolorosa. Questa donna, fino allora mobilissima, ora era costretta ad appoggiarsi a un bastone che non le era di grande aiuto. Per quindici giorni le applicai di giorno dei cataplasmi di Erbe svedesi (per quattro ore) e di notte foglie di Verza riscaldate col ferro da stiro. I dolori diminuirono un poco, ma nel camminare era ancora molto impedita. A questo punto, mi procurai delle foglie di Panace con le quali ottenni sin dal primo giorno buoni risultati. Lavai le foglie, le stirai col matterello sul tagliere e le applicai nottetempo sul ginocchio malato. Il giorno appresso la difficoltà di camminare era svanita come per incanto. Era rimasto solo i gonfiore. Pertanto ripetei le applicazioni anche la sera successiva, dopodiché, con nostra grande gioia, scomparve pure la tumefazione. La nonna, ora di 94 anni, continua a camminare senza bastone. Ogni dolore e gonfiore al ginocchio è svanito.
Inoltre, sarebbe da suggerire un semicupio di Coda cavallina una volta al mese. Mettere 100 g di quest’erba in acqua fredda e lasciarla riposare per una notte; riscaldare il giorno appresso l’acqua così preparata e immergervisi per 20 minuti. L’acqua del bagno può essere riversata sulle erbe altre due volte e, riscaldata, essere riutilizzata per altri due semicupi.
TESTIMONIANZA 2
Una suora scrive: «In aprile accusavo dei forti dolori che mi impedivano di dormire di notte. Seguendo il suo suggerimento ho bevuto ogni giorno quattro tazze di una tisana fatta con 3 cucchiaini da dessert di Ortica e con 1 cucchiaio di Erbe svedesi. Con grande giubilo le debbo comunicare che dopo sei mesi – non sento più alcun male nell’anca e che un’operazione si è resa quindi superflua. Lavoro in un istituto per persone anziane e ho potuto aiutare diversi vecchi con le erbe».
Clicca qui per aggiungere il proprio testo



